JavaScript is disabled in your browser. Please enable JavaScript to view this website.

Anti-Ionotropic Glutamate receptor 2 (phospho S880) antibody(ab52180)

$undefined

Anti-Ionotropic Glutamate receptor 2 (phospho S880) antibody(ab52180)

Anti-Ionotropic Glutamate receptor 2 (phospho S880) antibody(ab52180)

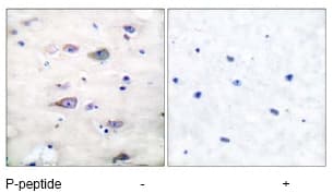
Rabbit Polyclonal Ionotropic Glutamate receptor 2 phospho S880 antibody. Suitable for WB, IHC-P and reacts with Mouse, Human samples. Cited in 20 publications. Immunogen corresponding to Synthetic Peptide within Human GRIA2 phospho S880 aa 800 to C-terminus.
Specifications
Shipped At Conditions Blue Ice
Appropriate Long term Storage Conditions Store at -20°C.
Clonality Polyclonal
Applications IHC-P, WB
Species Reactivity Human, Mouse
Isotype IgG