JavaScript is disabled in your browser. Please enable JavaScript to view this website.

Anti-Hsp90 beta (phospho S254) antibody(AB51136)

$undefined

Anti-Hsp90 beta (phospho S254) antibody(AB51136)

Anti-Hsp90 beta (phospho S254) antibody(AB51136)

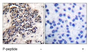
Rabbit Polyclonal HS90B phospho S254 antibody. Suitable for WB, IHC-P and reacts with Human samples. Cited in 1 publication. Immunogen corresponding to Synthetic Peptide within Human HSP90ab1 phospho S254 aa 200-300.
Specifications
Shipped At Conditions Blue Ice
Appropriate Long term Storage Conditions Store at -20°C.
Clonality Polyclonal
Applications IHC-P, WB
Species Reactivity Human
Isotype IgG