JavaScript is disabled in your browser. Please enable JavaScript to view this website.

Anti-MMP14 antibody [EP1264Y](AB51074)

$undefined

Anti-MMP14 antibody [EP1264Y](AB51074)

Anti-MMP14 antibody [EP1264Y](AB51074)

Anti-MMP14 antibody [EP1264Y](AB51074)

Anti-MMP14 antibody [EP1264Y](AB51074)

Anti-MMP14 antibody [EP1264Y](AB51074)

Anti-MMP14 antibody [EP1264Y](AB51074)

Anti-MMP14 antibody [EP1264Y](AB51074)

Anti-MMP14 antibody [EP1264Y](AB51074)

Anti-MMP14 antibody [EP1264Y](AB51074)

Anti-MMP14 antibody [EP1264Y](AB51074)

Anti-MMP14 antibody [EP1264Y](AB51074)

Anti-MMP14 antibody [EP1264Y](AB51074)

Anti-MMP14 antibody [EP1264Y](AB51074)

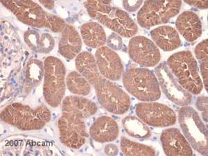
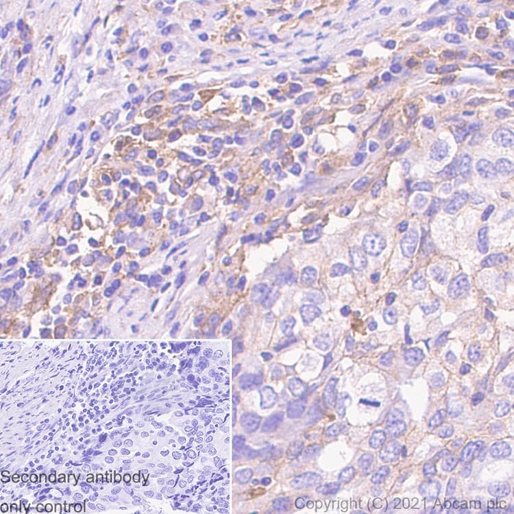
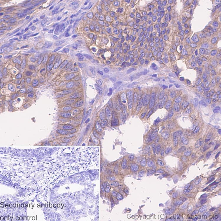
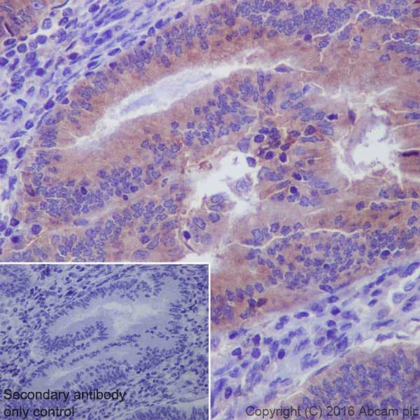
Anti-MMP14 antibody [EP1264Y] ab51074 is a rabbit monoclonal antibody that is used in MMP14 western blotting, IHC, immunofluorescence and flow cytometry. Suitable for human, mouse and rat samples.

- Recombinant format for unrivaled batch-batch consistency: no need for same-lot requests
- Validated on the Leica BOND™ RX automated IHC staining platform for Rabbit IHC
- Antibody clone EP1264Y is the most widely used clone for MMP14 on the market and is cited in >200 publications
- Specificity confirmed with MMP14 knockout cell line validation
Specifications
Shipped At Conditions Blue Ice
Appropriate Long term Storage Conditions Store at -20°C.
Clonality Monoclonal
Applications Flow Cyt, ICC/IF, IHC-P, IP, WB
Species Reactivity Human, Mouse, Rat
Isotype IgG