Immunohistochemistry (Formalin/PFA-fixed paraffin-embedded sections) - Anti-4 Hydroxynonenal antibody [HNEJ-2] (ab48506)
Elevated brain oxidative damage in ischemic 5xFAD mice
Formalin-fixed, paraffin-embedded mouse brain tissue (from non-trasngenic or 5xFAD transgenic animals) stained for 4 Hydroxynonenal using ab48506 at in immunohistochemical analysis.
Scale bar = 20μm. (A2) and (B2) are representative images of 4-HNE staining (Red) in brain cortex and CA1 region, respectively.
Lu, L. et al PLoS One. 2015 Dec 3;10(12):e0144068. doi: 10.1371/journal.pone.0144068. eCollection 2015. Reproduced under the Creative Commons license http://creativecommons.org/licenses/by/4.0/

Western blot - Anti-4 Hydroxynonenal antibody [HNEJ-2] (ab48506)
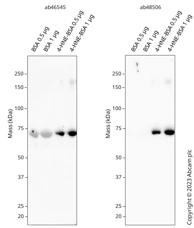
Western blot: Anti-4-HNE antibody (ab46545) staining at 1/1000 dilution, shown in black. In Western blot, ab46545 binds to 4-HNE but shows some non-specific binding to BSA. We recommend ab48506 for Western blot of 4-HNE. First, samples were run on an SDS-PAGE gel then transferred onto a nitrocellulose membrane. Membranes were blocked in 3% milk in TBS-0.1% Tween® 20 (TBS-T) before incubation with primary antibodies overnight at 4°C. Blots were washed four times in TBS-T, incubated with secondary antibodies for 1 h at room temperature, washed again four times before development with a high-sensitivity ECL substrate kit and imaged with 3 minutes exposure time. Secondary antibodies used were HRP conjugated Goat anti-Rabbit (H+L) at 1/50000 dilution.
Lanes 1 - 4:
Western blot - Anti-4 Hydroxynonenal antibody (ab46545) at 1/1000 dilution
Lanes 1 - 4:
Western blot - Anti-4 Hydroxynonenal antibody [HNEJ-2] (ab48506) at 1/1000 dilution
Lane 1:
BSA cell lysate at 0.5 µg
Lane 2:
BSA cell lysate at 1 µg
Lane 3:
4-Hydroxynonenal (BSA) cell lysate at 0.5 µg
Lane 4:
4-Hydroxynonenal (BSA) cell lysate at 1 µg
Developed using the ECL technique.
Performed under reducing conditions.
Observed band size: 66 kDa

Western blot - Anti-4 Hydroxynonenal antibody [HNEJ-2] (ab48506)
Western blot: Anti-4-HNE antibody [HNEJ-2] (ab48506) staining at 1/1000 dilution, shown in black. In Western blot, ab48506 was shown to bind specifically to 4-HNE. First, samples were run on an SDS-PAGE gel then transferred onto a nitrocellulose membrane. Membranes were blocked in 3% milk in TBS-0.1% Tween® 20 (TBS-T) before incubation with primary antibodies overnight at 4°C. Blots were washed four times in TBS-T, incubated with secondary antibodies for 1 h at room temperature, washed again four times before development with a high-sensitivity ECL substrate kit and imaged with 3 minutes exposure time. Secondary antibodies used were HRP conjugated Goat anti-Mouse (H+L) 5000 dilution.
All lanes:
Western blot - Anti-4 Hydroxynonenal antibody [HNEJ-2] (ab48506) at 1/1000 dilution
Lane 1:
BSA cell lysate at 0.5 µg
Lane 2:
BSA cell lysate at 1 µg
Lane 3:
4-Hydroxynonenal (BSA) cell lysate at 0.5 µg
Lane 4:
4-Hydroxynonenal (BSA) cell lysate at 1 µg
Developed using the ECL technique.
Performed under reducing conditions.
Observed band size: 66 kDa
