JavaScript is disabled in your browser. Please enable JavaScript to view this website.

Anti-FOXO4/AFX (phospho S197) antibody(AB47278)

$undefined

Foxo4 Afx Phospho S197 Antibody Ab47278  Immunocytochemistry Immunofluorescence Img126844

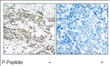
Foxo4 Afx Phospho S197 Antibody Ab47278  Immunohistochemistry Formalin Pfa Fixed Paraffin Embedded Sections Img133796

Foxo4 Afx Phospho S197 Antibody Ab47278  Western Blot Img35890

Rabbit Polyclonal FOXO4/AFX phospho S197 antibody. Suitable for WB, IHC-P, ICC/IF and reacts with Human samples. Immunogen corresponding to Synthetic Peptide within Human FOXO4 phospho S197 aa 150-250.
Specifications
Shipped At Conditions Blue Ice
Appropriate Long term Storage Conditions Store at -20°C.
Clonality Polyclonal
Applications ICC/IF, IHC-P, WB
Species Reactivity Human
Isotype IgG