JavaScript is disabled in your browser. Please enable JavaScript to view this website.

Anti-Hsp70 antibody [EP1007Y](ab45133)

$undefined

Anti-Hsp70 antibody [EP1007Y](ab45133)

Anti-Hsp70 antibody [EP1007Y](ab45133)

Anti-Hsp70 antibody [EP1007Y](ab45133)

Anti-Hsp70 antibody [EP1007Y](ab45133)

Anti-Hsp70 antibody [EP1007Y](ab45133)

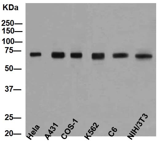
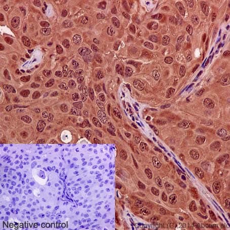
Rabbit Recombinant Monoclonal Hsp70 antibody. Suitable for IHC-P, WB, ICC/IF, Flow Cyt (Intra) and reacts with Human samples. Cited in 27 publications.
Specifications
Shipped At Conditions Blue Ice
Appropriate Long term Storage Conditions Store at -20°C.
Clonality Monoclonal
Applications Flow Cyt (Intra), ICC/IF, IHC-P, WB
Species Reactivity Human
Isotype IgG