JavaScript is disabled in your browser. Please enable JavaScript to view this website.

Anti-MCM2 antibody(ab4461)

$undefined

Anti-MCM2 antibody(ab4461)

Anti-MCM2 antibody(ab4461)

Anti-MCM2 antibody(ab4461)

Anti-MCM2 antibody(ab4461)

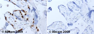
Rabbit Polyclonal MCM2 antibody. Suitable for IHC-P, IP, WB and reacts with Human, Mouse samples. Cited in 66 publications. Immunogen corresponding to Synthetic Peptide within Human DNA replication licensing factor MCM2.
Specifications
Shipped At Conditions Blue Ice
Appropriate Long term Storage Conditions Store at -20°C.
Clonality Polyclonal
Applications IHC-P, IP, WB
Species Reactivity Human, Mouse
Isotype IgG