JavaScript is disabled in your browser. Please enable JavaScript to view this website.

Anti-CD45 antibody [EP322Y](AB40763)

$undefined

Anti-CD45 antibody [EP322Y](AB40763)

Anti-CD45 antibody [EP322Y](AB40763)

Anti-CD45 antibody [EP322Y](AB40763)

Anti-CD45 antibody [EP322Y](AB40763)

Anti-CD45 antibody [EP322Y](AB40763)

Anti-CD45 antibody [EP322Y](AB40763)

Anti-CD45 antibody [EP322Y](AB40763)

Anti-CD45 antibody [EP322Y](AB40763)

Anti-CD45 antibody [EP322Y](AB40763)

Anti-CD45 antibody [EP322Y](AB40763)

Anti-CD45 antibody [EP322Y](AB40763)

Anti-CD45 antibody [EP322Y](AB40763)

Anti-CD45 antibody [EP322Y](AB40763)

Anti-CD45 antibody [EP322Y](AB40763)

Anti-CD45 antibody [EP322Y](AB40763)

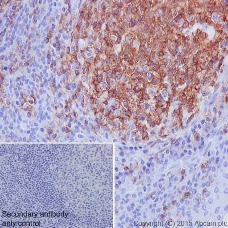
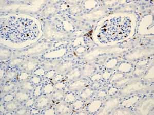
Anti-CD45 antibody [EP322Y] ab40763 is a rabbit monoclonal antibody that is used in CD45 western blotting, IHC, immunofluorescence and flow cytometry. Suitable for human samples.

- Recombinant format for unrivaled batch-batch consistency: no need for same-lot requests
- Antibody clone EP322Y has been tried and trusted by researchers since 2006 and is cited in >100 publications
- Specificity and sensitivity confirmed in IHC with multi-tissue microarray (TMA) validation
- One antibody for all your CD45 staining, use in CD45 western blotting, IHC, immunofluorescence and flow cytometry

New 20 ul size available
Specifications
Shipped At Conditions Blue Ice
Appropriate Long term Storage Conditions Store at -20°C.
Clonality Monoclonal
Applications Human
Species Reactivity Flow Cyt (Intra), ICC/IF, IHC-P, WB
Isotype IgG