JavaScript is disabled in your browser. Please enable JavaScript to view this website.

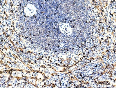
Anti-CD8 alpha antibody(AB4055)

$undefined

Anti-CD8 alpha antibody(AB4055)

Anti-CD8 alpha antibody(AB4055)

Anti-CD8 alpha antibody(AB4055)

Anti-CD8 alpha antibody(AB4055)

Rabbit Polyclonal CD8 alpha antibody. Suitable for IHC-P and reacts with Human samples. Cited in 184 publications.
Specifications
Shipped At Conditions Blue Ice
Appropriate Long term Storage Conditions Store at -20°C.
Clonality Polyclonal
Applications Human
Species Reactivity IHC-P
Isotype IgG