JavaScript is disabled in your browser. Please enable JavaScript to view this website.

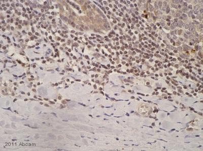
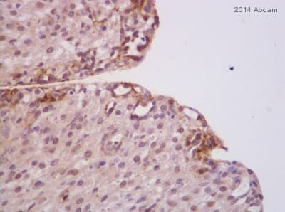
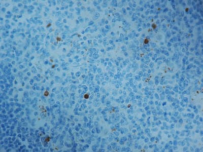
Anti-Caspase-3 antibody(AB4051)

$undefined

Anti-Caspase-3 antibody(AB4051)

Anti-Caspase-3 antibody(AB4051)

Anti-Caspase-3 antibody(AB4051)

Anti-Caspase-3 antibody(AB4051)

Anti-Caspase-3 antibody(AB4051)

Rabbit Polyclonal Caspase-3 antibody. Suitable for IHC-P, WB and reacts with Human samples. Cited in 317 publications. Immunogen corresponding to Synthetic Peptide within Human CASP3 aa 150-200.
Specifications
Shipped At Conditions Blue Ice
Appropriate Long term Storage Conditions Store at -20°C.
Clonality Polyclonal
Applications Human
Species Reactivity IHC-P, WB
Isotype IgG