JavaScript is disabled in your browser. Please enable JavaScript to view this website.

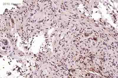
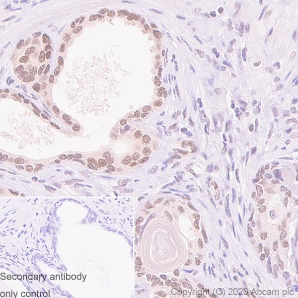
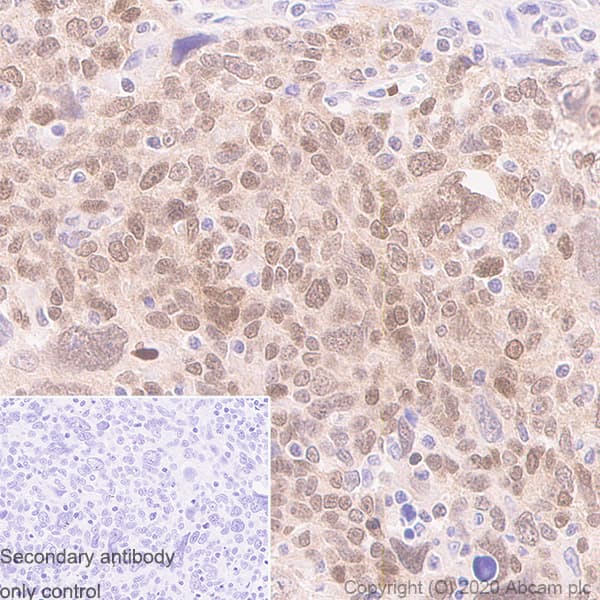
Anti-MGMT antibody [MT3.1](AB39253)

$undefined

Anti-MGMT antibody [MT3.1](AB39253)

Anti-MGMT antibody [MT3.1](AB39253)

Anti-MGMT antibody [MT3.1](AB39253)

Anti-MGMT antibody [MT3.1](AB39253)

Anti-MGMT antibody [MT3.1](AB39253)

Anti-MGMT antibody [MT3.1](AB39253)

Anti-MGMT antibody [MT3.1](AB39253)

Mouse Recombinant Monoclonal MGMT antibody. Suitable for IHC-P, WB and reacts with Human samples. Cited in 19 publications.
Specifications
Shipped At Conditions Blue Ice
Appropriate Long term Storage Conditions Store at -20°C.
Clonality Monoclonal
Applications IHC-P, WB
Species Reactivity Human, Mouse, Rat
Isotype IgG1