JavaScript is disabled in your browser. Please enable JavaScript to view this website.

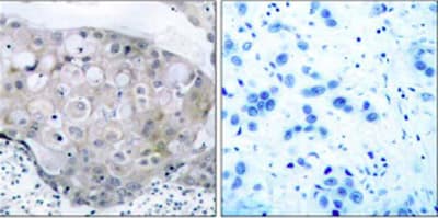
Anti-VEGF Receptor 2 (phospho Y951) antibody(AB38473)

$undefined

Anti-VEGF Receptor 2 (phospho Y951) antibody(AB38473)

Anti-VEGF Receptor 2 (phospho Y951) antibody(AB38473)

Rabbit Polyclonal VEGF Receptor 2 phospho Y951 antibody. Suitable for ELISA, WB, IHC-P, ICC/IF and reacts with Mouse, Human samples. Cited in 11 publications. Immunogen corresponding to Synthetic Peptide within Human KDR phospho Y951.
Specifications
Shipped At Conditions Blue Ice
Appropriate Long term Storage Conditions Store at -20°C.
Clonality Polyclonal
Applications ELISA, ICC/IF, IHC-P, WB
Species Reactivity Human, Mouse
Isotype IgG