JavaScript is disabled in your browser. Please enable JavaScript to view this website.

Anti-Sumo 2 + Sumo 3 antibody(AB3742)

$undefined

Anti-Sumo 2 + Sumo 3 antibody(AB3742)

Anti-Sumo 2 + Sumo 3 antibody(AB3742)

Anti-Sumo 2 + Sumo 3 antibody(AB3742)

Anti-Sumo 2 + Sumo 3 antibody(AB3742)

Anti-Sumo 2 + Sumo 3 antibody(AB3742)

Anti-Sumo 2 + Sumo 3 antibody(AB3742)

Anti-Sumo 2 + Sumo 3 antibody(AB3742)

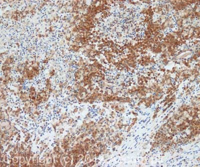
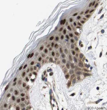
Rabbit Polyclonal Sumo 2 antibody. Suitable for IHC-P, WB, ICC/IF and reacts with Human samples. Cited in 104 publications.
Specifications
Shipped At Conditions Blue Ice
Appropriate Long term Storage Conditions Store at -20°C.
Clonality Polyclonal
Applications ICC/IF, IHC-P, WB
Species Reactivity Human
Isotype IgG