JavaScript is disabled in your browser. Please enable JavaScript to view this website.

Anti-Mucin 5AC antibody [45M1](ab3649)

$undefined

Anti-Mucin 5AC antibody [45M1](ab3649)

Anti-Mucin 5AC antibody [45M1](ab3649)

Anti-Mucin 5AC antibody [45M1](ab3649)

Anti-Mucin 5AC antibody [45M1](ab3649)

Anti-Mucin 5AC antibody [45M1](ab3649)

Anti-Mucin 5AC antibody [45M1](ab3649)

Anti-Mucin 5AC antibody [45M1](ab3649)

Anti-Mucin 5AC antibody [45M1](ab3649)

Anti-Mucin 5AC antibody [45M1](ab3649)

Anti-Mucin 5AC antibody [45M1](ab3649)

Anti-Mucin 5AC antibody [45M1](ab3649)

Anti-Mucin 5AC antibody [45M1](ab3649)

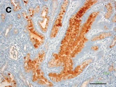
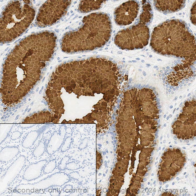
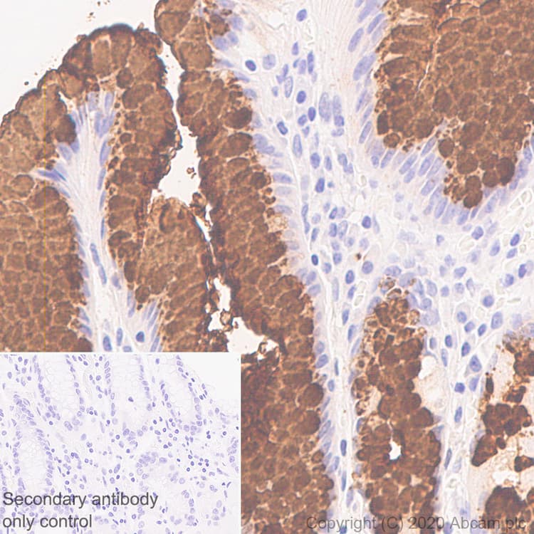
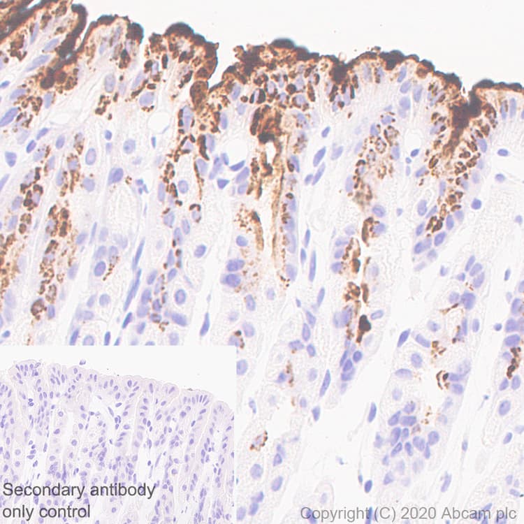
Anti-Mucin 5AC antibody [45M1] ab3649 is a mouse monoclonal antibody that is used in Mucin 5AC IHC and immunofluorescence. Suitable for human, mouse and rat samples.

- Recombinant format for unrivaled batch-batch consistency: no need for same-lot requests
- Antibody clone 45M1 is the most widely used clone for Mucin 5AC on the market and is cited in >580 publications
New 20 ul size available
Specifications
Shipped At Conditions Blue Ice
Appropriate Long term Storage Conditions Store at -20°C.
Clonality Monoclonal
Applications ICC/IF, IHC-Fr, IHC-P, mIHC
Species Reactivity Human, Mouse, Rat
Isotype IgG1