JavaScript is disabled in your browser. Please enable JavaScript to view this website.

Anti-AP-A antibody(ab36122)

$undefined

Anti-AP-A antibody(ab36122)

Anti-AP-A antibody(ab36122)

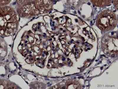
Goat Polyclonal AP-A antibody. Suitable for WB, IHC-P and reacts with Human samples. Cited in 6 publications. Immunogen corresponding to Synthetic Peptide within Human ENPEP aa 800-850.
Specifications
Shipped At Conditions Blue Ice
Appropriate Long term Storage Conditions Store at -20°C.
Clonality Polyclonal
Applications IHC-P, WB
Species Reactivity Human
Isotype IgG