JavaScript is disabled in your browser. Please enable JavaScript to view this website.

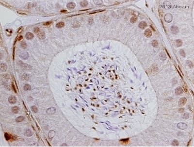
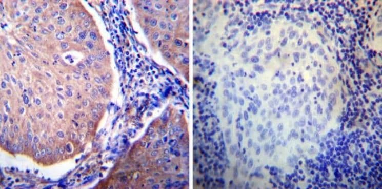
Anti-Glucocorticoid Receptor alpha antibody(ab3580)

$undefined

Anti-Glucocorticoid Receptor alpha antibody(ab3580)

Anti-Glucocorticoid Receptor alpha antibody(ab3580)

Anti-Glucocorticoid Receptor alpha antibody(ab3580)

Anti-Glucocorticoid Receptor alpha antibody(ab3580)

Anti-Glucocorticoid Receptor alpha antibody(ab3580)

Anti-Glucocorticoid Receptor alpha antibody(ab3580)

Anti-Glucocorticoid Receptor alpha antibody(ab3580)

Anti-Glucocorticoid Receptor alpha antibody(ab3580)

Anti-Glucocorticoid Receptor alpha antibody(ab3580)

Rabbit Polyclonal Glucocorticoid Receptor antibody. Suitable for IHC-P, ICC/IF and reacts with Human samples. Cited in 34 publications. Immunogen corresponding to Synthetic Peptide within Human NR3C1 aa 750 to C-terminus.
Specifications
Shipped At Conditions Blue Ice
Appropriate Long term Storage Conditions Store at -20°C.
Clonality Polyclonal
Applications ICC/IF, IHC-P
Species Reactivity Human
Isotype IgG