JavaScript is disabled in your browser. Please enable JavaScript to view this website.

Anti-Cytochrome P450 4A/CYP4A11 antibody(ab3573)

$undefined

Anti-Cytochrome P450 4A/CYP4A11 antibody(ab3573)

Anti-Cytochrome P450 4A/CYP4A11 antibody(ab3573)

Anti-Cytochrome P450 4A/CYP4A11 antibody(ab3573)

Anti-Cytochrome P450 4A/CYP4A11 antibody(ab3573)

Anti-Cytochrome P450 4A/CYP4A11 antibody(ab3573)

Anti-Cytochrome P450 4A/CYP4A11 antibody(ab3573)

Anti-Cytochrome P450 4A/CYP4A11 antibody(ab3573)

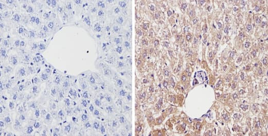
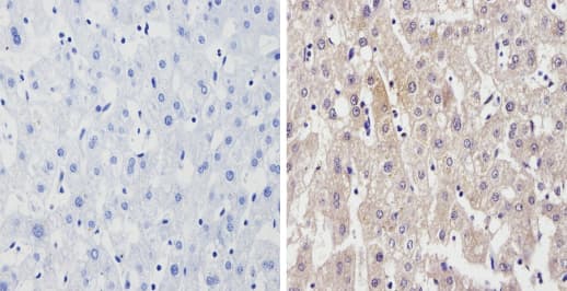
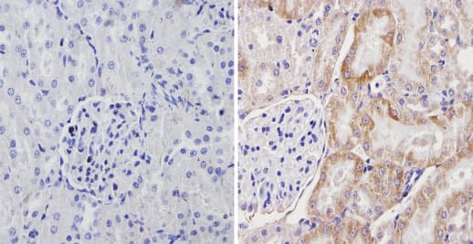
Rabbit Polyclonal Cytochrome P450 4A/CYP4A11 antibody. Suitable for IP, WB, IHC-P, ICC/IF, IHC-Fr and reacts with Mouse, Rat, Pig, Hamster, Human, Dog, Cat, Rabbit samples. Cited in 16 publications. Immunogen corresponding to Synthetic Peptide within Rat Cytochrome P450 4A10 aa 400-450.
Specifications
Shipped At Conditions Blue Ice
Appropriate Long term Storage Conditions Store at -20°C.
Clonality Polyclonal
Applications ICC/IF, IHC-Fr, IHC-P, IP, WB
Species Reactivity Cat, Dog, Hamster, Human, Mouse, Pig, Rabbit, Rat
Isotype IgG