JavaScript is disabled in your browser. Please enable JavaScript to view this website.

Anti-CYP2C11 antibody(ab3571)

$undefined

Anti-CYP2C11 antibody(ab3571)

Anti-CYP2C11 antibody(ab3571)

Anti-CYP2C11 antibody(ab3571)

Anti-CYP2C11 antibody(ab3571)

Anti-CYP2C11 antibody(ab3571)

Anti-CYP2C11 antibody(ab3571)

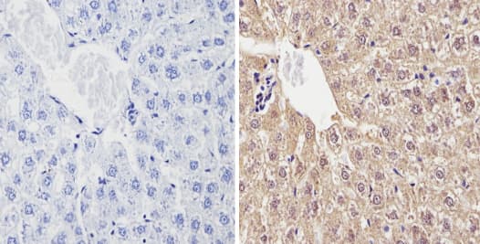
Rabbit Polyclonal CYP2C11 antibody. Suitable for IHC-P, ICC/IF and reacts with Rat, Human samples. Cited in 14 publications. Immunogen corresponding to Synthetic Peptide within Rat Cytochrome P450 2C11 aa 1-100.
Specifications
Shipped At Conditions Blue Ice
Appropriate Long term Storage Conditions Store at -20°C.
Clonality Polyclonal
Applications ICC/IF, IHC-P
Species Reactivity Human, Rat
Isotype IgG