JavaScript is disabled in your browser. Please enable JavaScript to view this website.

Anti-Cyclophilin 40 antibody(ab3562)

$undefined

Anti-Cyclophilin 40 antibody(ab3562)

Anti-Cyclophilin 40 antibody(ab3562)

Anti-Cyclophilin 40 antibody(ab3562)

Anti-Cyclophilin 40 antibody(ab3562)

Anti-Cyclophilin 40 antibody(ab3562)

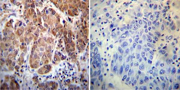
Rabbit Polyclonal Cyclophilin 40 antibody. Suitable for WB, IHC-P, ICC/IF and reacts with Rat, Human samples. Cited in 10 publications. Immunogen corresponding to Synthetic Peptide within Human Peptidyl-prolyl cis-trans isomerase D aa 350 to C-terminus.
Specifications
Shipped At Conditions Blue Ice
Appropriate Long term Storage Conditions Store at -20°C.
Clonality Polyclonal
Applications ICC/IF, IHC-P, WB
Species Reactivity Human, Rat
Isotype IgG