JavaScript is disabled in your browser. Please enable JavaScript to view this website.

Anti-Cannabinoid Receptor II antibody(ab3561)

$undefined

Anti-Cannabinoid Receptor II antibody(ab3561)

Anti-Cannabinoid Receptor II antibody(ab3561)

Anti-Cannabinoid Receptor II antibody(ab3561)

Anti-Cannabinoid Receptor II antibody(ab3561)

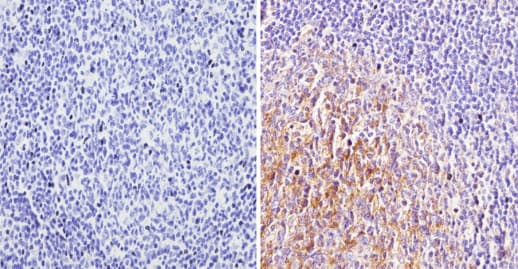
Rabbit Polyclonal Cannabinoid Receptor II antibody. Suitable for ICC, WB, IHC-P and reacts with Transfected cell line - Rat, Rat, Human samples. Cited in 85 publications. Immunogen corresponding to Recombinant Fragment Protein within Rat Cnr2 aa 1-50.
Specifications
Shipped At Conditions Blue Ice
Appropriate Long term Storage Conditions Store at -20°C.
Clonality Polyclonal
Applications ICC, IHC-P, WB
Species Reactivity Human, Rat
Isotype IgG