JavaScript is disabled in your browser. Please enable JavaScript to view this website.

Anti-CAMKIV antibody(ab3557)

$undefined

Anti-CAMKIV antibody(ab3557)

Anti-CAMKIV antibody(ab3557)

Anti-CAMKIV antibody(ab3557)

Anti-CAMKIV antibody(ab3557)

Anti-CAMKIV antibody(ab3557)

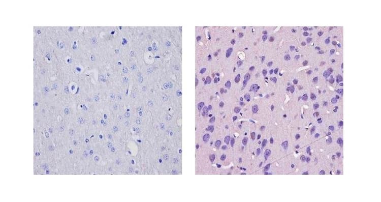
Rabbit Polyclonal CAMKIV antibody. Suitable for ICC, WB, IHC-P, ICC/IF, IHC-Fr and reacts with Human, Rat, Primates, Mouse, Plants, Xenopus laevis, Turtle, Dog samples. Cited in 14 publications.
Specifications
Shipped At Conditions Blue Ice
Appropriate Long term Storage Conditions Store at -20°C.
Clonality Polyclonal
Applications ICC, ICC/IF, IHC-Fr, IHC-P, WB
Species Reactivity Dog, Human, Mouse, Plants, Primates, Rat, Turtle, Xenopus laevis
Isotype IgG