JavaScript is disabled in your browser. Please enable JavaScript to view this website.

Anti-Calcium Pump PMCA2 ATPase antibody(ab3529)

$undefined

Anti-Calcium Pump PMCA2 ATPase antibody(ab3529)

Anti-Calcium Pump PMCA2 ATPase antibody(ab3529)

Anti-Calcium Pump PMCA2 ATPase antibody(ab3529)

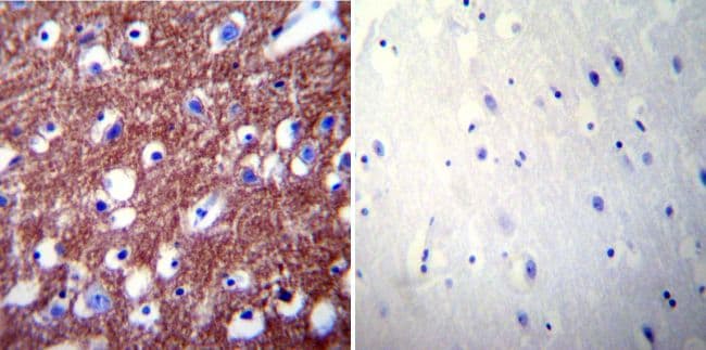
Rabbit Polyclonal Calcium Pump PMCA2 ATPase antibody. Suitable for ICC, IP, ELISA, WB, IHC-FoFr, IHC-P, ICC/IF, IHC-Fr and reacts with Mouse, Rat, Pig, Chicken, Primates, Human samples. Cited in 14 publications. Immunogen corresponding to Synthetic Peptide within Human Plasma membrane calcium-transporting ATPase 2 aa 1-50.
Specifications
Shipped At Conditions Blue Ice
Appropriate Long term Storage Conditions Store at -20°C.
Clonality Polyclonal
Applications ELISA, ICC, ICC/IF, IHC-FoFr, IHC-Fr, IHC-P, IP, WB
Species Reactivity Chicken, Human, Mouse, Pig, Primates, Rat
Isotype IgG