JavaScript is disabled in your browser. Please enable JavaScript to view this website.

Anti-KAT13D / CLOCK antibody(ab3517)

$undefined

Anti-KAT13D / CLOCK antibody(ab3517)

Anti-KAT13D / CLOCK antibody(ab3517)

Anti-KAT13D / CLOCK antibody(ab3517)

Anti-KAT13D / CLOCK antibody(ab3517)

Anti-KAT13D / CLOCK antibody(ab3517)

Anti-KAT13D / CLOCK antibody(ab3517)

Anti-KAT13D / CLOCK antibody(ab3517)

Anti-KAT13D / CLOCK antibody(ab3517)

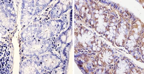
Rabbit Polyclonal KAT13D / CLOCK antibody. Suitable for EMSA, ChIP, WB, IHC-P, ICC/IF, IHC-Fr, Gel Shift Assay and reacts with Mouse, Human samples. Cited in 59 publications.
Specifications
Shipped At Conditions Blue Ice
Appropriate Long term Storage Conditions Store at -20°C.
Clonality Polyclonal
Applications ChIP, EMSA, Gel Shift Assay, ICC/IF, IHC-Fr, IHC-P, WB
Species Reactivity Human, Mouse
Isotype IgG