JavaScript is disabled in your browser. Please enable JavaScript to view this website.

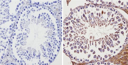
Anti-Adenosine Receptor A2a antibody(ab3461)

$undefined

Anti-Adenosine Receptor A2a antibody(ab3461)

Anti-Adenosine Receptor A2a antibody(ab3461)

Anti-Adenosine Receptor A2a antibody(ab3461)

Anti-Adenosine Receptor A2a antibody(ab3461)

Anti-Adenosine Receptor A2a antibody(ab3461)

Anti-Adenosine Receptor A2a antibody(ab3461)

Rabbit Polyclonal Adenosine Receptor A2a antibody. Suitable for ICC, WB, IHC-P and reacts with Human, Mouse samples. Cited in 35 publications.
Specifications
Shipped At Conditions Blue Ice
Appropriate Long term Storage Conditions Store at -20°C.
Clonality Polyclonal
Applications ICC, IHC-P, WB
Species Reactivity Human, Mouse
Isotype IgG