JavaScript is disabled in your browser. Please enable JavaScript to view this website.

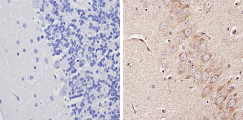
Anti-Adenosine A1 Receptor antibody(ab3460)

$undefined

Anti-Adenosine A1 Receptor antibody(ab3460)

Anti-Adenosine A1 Receptor antibody(ab3460)

Anti-Adenosine A1 Receptor antibody(ab3460)

Rabbit Polyclonal Adenosine A1 Receptor antibody. Suitable for ICC, WB, IHC-P and reacts with Human, Rat samples. Cited in 7 publications.
Specifications
Shipped At Conditions Blue Ice
Appropriate Long term Storage Conditions Store at -20°C.
Clonality Polyclonal
Applications ICC, IHC-P, WB
Species Reactivity Human, Rat
Isotype IgG