JavaScript is disabled in your browser. Please enable JavaScript to view this website.

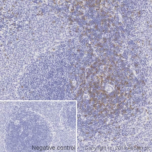
Anti-CD8 alpha antibody [OX-8](AB33786)

$undefined

Anti-CD8 alpha antibody [OX-8](AB33786)

Anti-CD8 alpha antibody [OX-8](AB33786)

Anti-CD8 alpha antibody [OX-8](AB33786)

Anti-CD8 alpha antibody [OX-8](AB33786)

Anti-CD8 alpha antibody [OX-8](AB33786)

Mouse Monoclonal CD8 alpha antibody. Suitable for Flow Cyt, WB, IHC-P, ICC/IF and reacts with Rat samples. Cited in 37 publications.
Specifications
Shipped At Conditions Blue Ice
Appropriate Long term Storage Conditions Store at -20°C.
Clonality Monoclonal
Applications Flow Cyt, ICC/IF, IHC-P, WB
Species Reactivity Rat
Isotype IgG1