JavaScript is disabled in your browser. Please enable JavaScript to view this website.

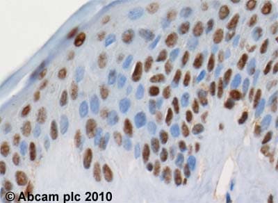
Anti-MEF2D antibody(AB32845)

$undefined

Anti-MEF2D antibody(AB32845)

Anti-MEF2D antibody(AB32845)

Rabbit Polyclonal MEF2D antibody. Suitable for IHC-P, IP and reacts with Human samples. Cited in 15 publications. Immunogen corresponding to Recombinant Fragment Protein within Human MEF2D_HUMAN aa 250 to C-terminus.
Specifications
Shipped At Conditions Blue Ice
Appropriate Long term Storage Conditions Store at -20°C.
Clonality Polyclonal
Applications IHC-P, IP
Species Reactivity Human
Isotype IgG