Immunoprecipitation - Anti-STAT6 antibody [YE361] (ab32520)
ab32520 (purified) at 1/20 immunoprecipitating STAT6 in 10 μg NIH/3T3 (mouse embyro fibroblast cell line; Lanes 1 and 2, observed at 100 kDa). Lane 3 - PBS. For western blotting, HRP Veriblot for IP (ab131366) was used for detection (1/10 000). Blocking buffer and concentration: 5% NFDM/TBST Dilution buffer and concentration: 5% NFDM/TBST
All lanes:
Immunoprecipitation - Anti-STAT6 antibody [YE361] (ab32520)
Predicted band size: 94 kDa

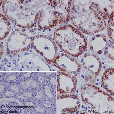
Immunohistochemistry (Formalin/PFA-fixed paraffin-embedded sections) - Anti-STAT6 antibody [YE361] (ab32520)
Immunohistochemical staining of paraffin embedded human kidney with purified ab32520 at a working dilution of 1/50. The secondary antibody used is HRP goat anti-rabbit IgG H&L (ab97051) at 1/500. The sample is counter-stained with hematoxylin. Antigen retrieval was perfomed using Tris-EDTA buffer, pH 9.0. PBS was used instead of the primary antibody as the negative control, and is shown in the inset.

Western blot - Anti-STAT6 antibody [YE361] (ab32520)
Blocking buffer: 5% NFDM/TBST
Dilution buffer: 5% NFDM/TBST
All lanes:
Western blot - Anti-STAT6 antibody [YE361] (ab32520) at 1/1000 dilution
Lane 1:
NIH/3T3 (mouse embyro fibroblast cell line) cell lysate at 10 µg
Lane 2:
RAW 264.7 (mouse macrophage cell line transformed with Abelson murine leukemia virus) cell lysate at 10 µg
Secondary
All lanes:
HRP goat anti-rabbit IgG (H+L) at 1/20000 dilution
Predicted band size: 94 kDa
Observed band size: 100 kDa

Western blot - Anti-STAT6 antibody [YE361] (ab32520)
Blocking buffer: 5% NFDM/TBST
Dilution buffer: 5% NFDM/TBST
All lanes:
Western blot - Anti-STAT6 antibody [YE361] (ab32520) at 1/20000 dilution
All lanes:
Raji (human Burkitt's lymphoma cell line) cell lysate at 10 µg
Secondary
All lanes:
HRP goat anti-rabbit IgG (H+L) at 1/20000 dilution
Predicted band size: 94 kDa
Observed band size: 100 kDa

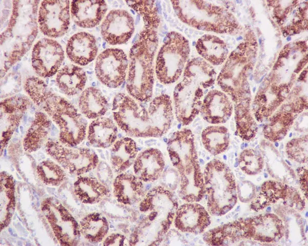
Immunohistochemistry (Formalin/PFA-fixed paraffin-embedded sections) - Anti-STAT6 antibody [YE361] (ab32520)
Immunohistochemistry (Formalin/PFA-fixed paraffin-embedded sections) analysis of mouse kidney tissue sections labelling STAT6 with unpurified ab32520 at a dilution of 1/1000. HRP goat anti-rabbit (ab97051) was used at a dilution of 1/500. The antigen retrieval solution was Tris-EDTA buffer, pH 9.0.

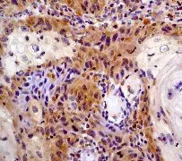
Immunohistochemistry (Formalin/PFA-fixed paraffin-embedded sections) - Anti-STAT6 antibody [YE361] (ab32520)
Immunohistochemistry (Formalin/PFA-fixed paraffin-embedded sections) analysis of human skin carcinoma tissue labelling STAT6 with unpurified ab32520 at 1/100.
Perform heat mediated antigen retrieval before commencing with IHC staining protocol.
