JavaScript is disabled in your browser. Please enable JavaScript to view this website.

Anti-Caspase-3 antibody [E87](AB32351)

$undefined

Anti-Caspase-3 antibody [E87](AB32351)

Anti-Caspase-3 antibody [E87](AB32351)

Anti-Caspase-3 antibody [E87](AB32351)

Anti-Caspase-3 antibody [E87](AB32351)

Anti-Caspase-3 antibody [E87](AB32351)

Anti-Caspase-3 antibody [E87](AB32351)

Anti-Caspase-3 antibody [E87](AB32351)

Anti-Caspase-3 antibody [E87](AB32351)

Anti-Caspase-3 antibody [E87](AB32351)

Anti-Caspase-3 antibody [E87](AB32351)

Anti-Caspase-3 antibody [E87](AB32351)

Anti-Caspase-3 antibody [E87](AB32351)

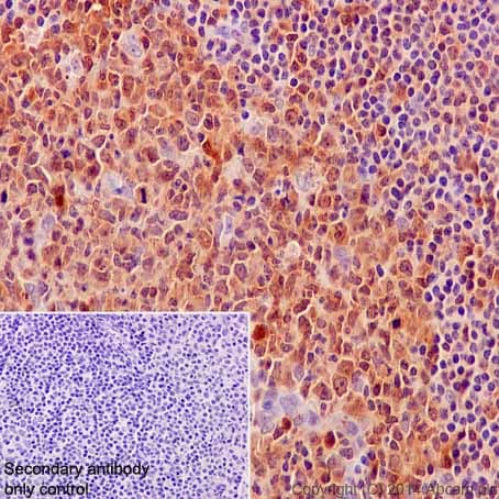
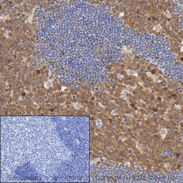
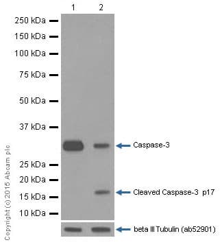
Anti-Caspase-3 antibody [E87] ab32351 is a rabbit monoclonal antibody that is used in Caspase-3 western blotting, IHC, immunofluorescence and flow cytometry. Suitable for human samples.

- Recombinant format for unrivaled batch-batch consistency: no need for same-lot requests
- Antibody clone E87 has been tried and trusted by researchers since 2006 and is cited in >560 publications
- Specificity confirmed with CASP3 knockout cell line validation
- Specificity and sensitivity confirmed in IHC with multi-tissue microarray (TMA) validation

New 20 ul size available
Specifications
Shipped At Conditions Blue Ice
Appropriate Long term Storage Conditions Store at -20°C.
Clonality Monoclonal
Applications Flow Cyt (Intra), ICC/IF, IHC-P, IP, WB
Species Reactivity Human, Mouse
Isotype IgG