JavaScript is disabled in your browser. Please enable JavaScript to view this website.

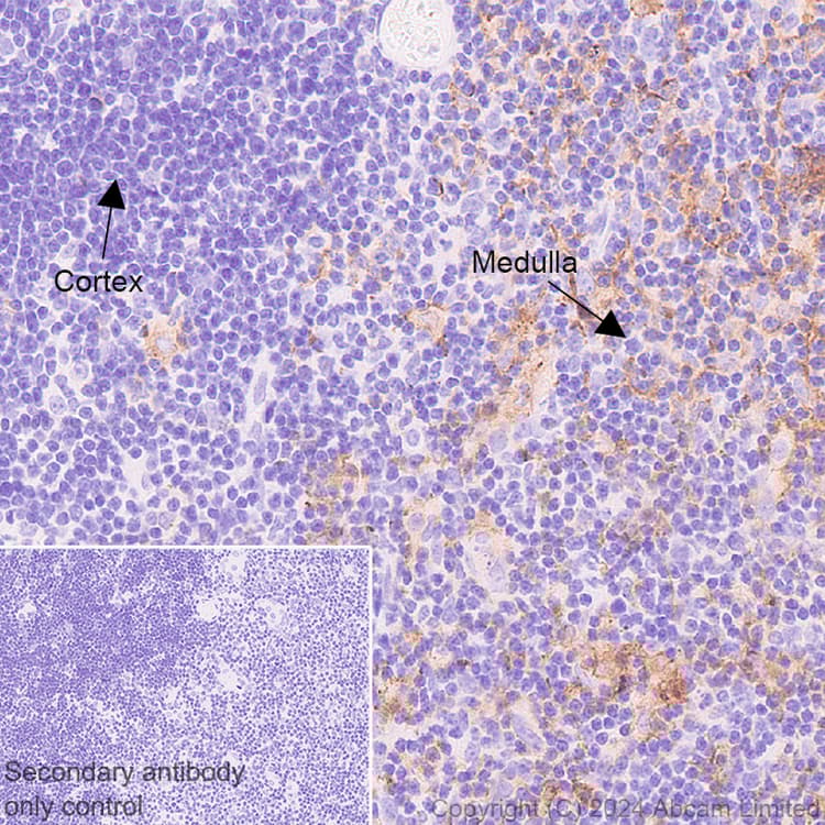
Anti-CD80 antibody [EPR28978-182](ab322922)

Anti-CD80 antibody [EPR28978-182](ab322922)

Rabbit Recombinant Monoclonal CD80 antibody. Suitable for IHC-P, mIHC and reacts with Transfected cell line - Mouse, Mouse samples.
Specifications
Shipped At Conditions Blue Ice
Appropriate Long term Storage Conditions Store at -20°C.