JavaScript is disabled in your browser. Please enable JavaScript to view this website.

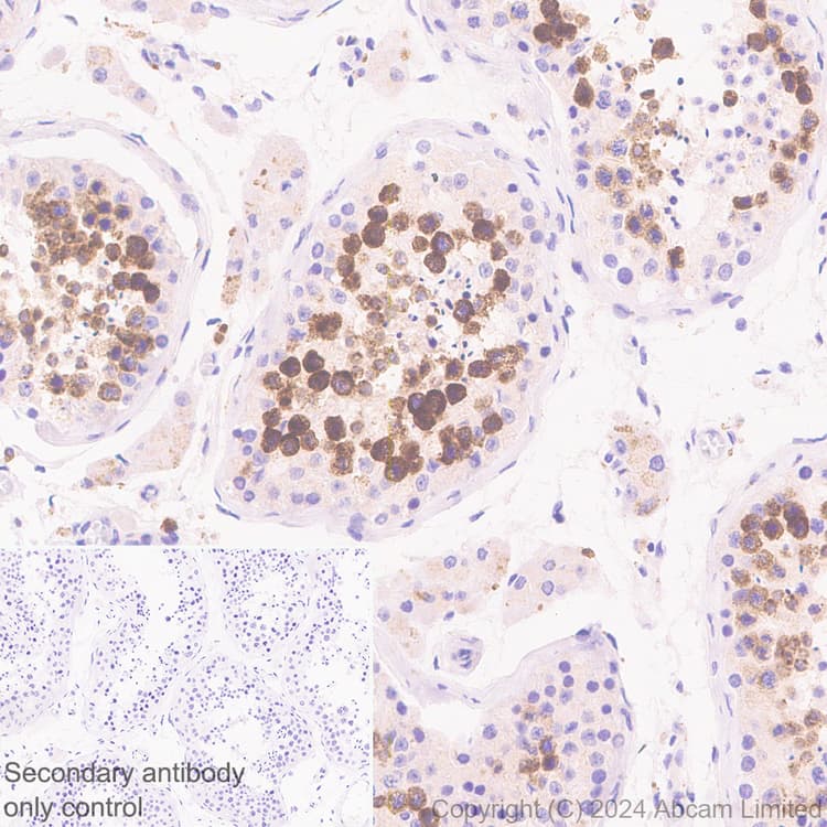
Anti-IL-13 receptor alpha 2 antibody [EPR29921-543](ab322898)

Anti-IL-13 receptor alpha 2 antibody [EPR29921-543](ab322898)

Rabbit Recombinant Monoclonal IL-13 receptor alpha 2 antibody. Suitable for IHC-P and reacts with Human samples.
Specifications
Shipped At Conditions Blue Ice
Appropriate Long term Storage Conditions Store at -20°C.