JavaScript is disabled in your browser. Please enable JavaScript to view this website.

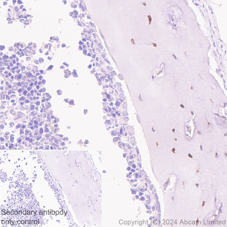
Anti-Sclerostin antibody[EPR28892-591](ab322897)

Anti-Sclerostin antibody[EPR28892-591](ab322897)

Rabbit Recombinant Monoclonal Sclerostin antibody. Suitable for IHC-P and reacts with Transfected cell line - Mouse, Mouse samples.
Specifications
Shipped At Conditions Blue Ice
Appropriate Long term Storage Conditions Store at -20°C.