JavaScript is disabled in your browser. Please enable JavaScript to view this website.

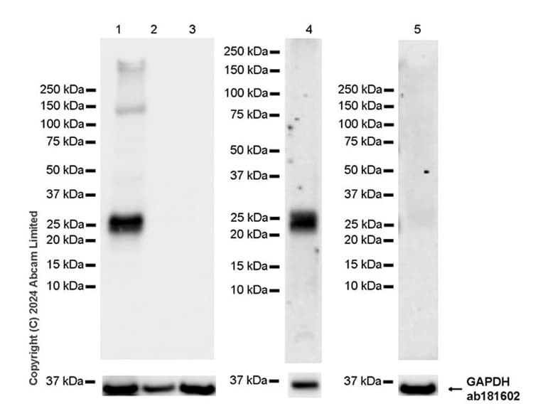
Anti-Granzyme A antibody [RM2061](ab322896)

Anti-Granzyme A antibody [RM2061](ab322896)

Rabbit Recombinant Multiclonal Granzyme A antibody. Suitable for Flow Cyt (Intra), WB, IHC-P, ICC/IF, IP and reacts with Transfected cell line - Human, Human samples.
Specifications
Shipped At Conditions Blue Ice
Appropriate Long term Storage Conditions Store at -20°C.