JavaScript is disabled in your browser. Please enable JavaScript to view this website.

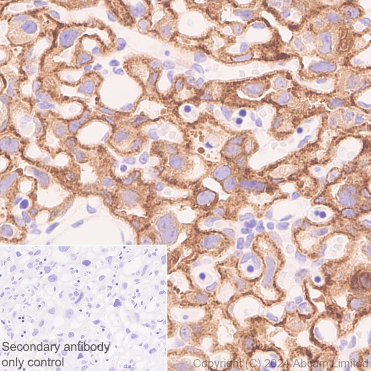
Anti-PLGF antibody [EPR29637-148](ab322267)

$undefined

Anti-PLGF antibody [EPR29637-148](ab322267)

Anti-PLGF antibody [EPR29637-148](ab322267)

Anti-PLGF antibody [EPR29637-148](ab322267)

Anti-PLGF antibody [EPR29637-148](ab322267)

Anti-PLGF antibody [EPR29637-148](ab322267)

Anti-PLGF antibody [EPR29637-148](ab322267)

Rabbit Recombinant Monoclonal PLGF antibody. Suitable for IHC-P, Dot and reacts with Transfected cell line - Mouse, Mouse, Recombinant fragment - Mouse samples.
Specifications
Shipped At Conditions Blue Ice
Appropriate Long term Storage Conditions Store at -20°C.
Clonality Monoclonal
Applications Dot, IHC-P, WB
Species Reactivity Human, Mouse
Isotype IgG