JavaScript is disabled in your browser. Please enable JavaScript to view this website.

Anti-AMPK beta 1 antibody [Y367](ab32112)

$undefined

Anti-AMPK beta 1 antibody [Y367](ab32112)

Anti-AMPK beta 1 antibody [Y367](ab32112)

Anti-AMPK beta 1 antibody [Y367](ab32112)

Anti-AMPK beta 1 antibody [Y367](ab32112)

Anti-AMPK beta 1 antibody [Y367](ab32112)

Anti-AMPK beta 1 antibody [Y367](ab32112)

Anti-AMPK beta 1 antibody [Y367](ab32112)

Anti-AMPK beta 1 antibody [Y367](ab32112)

Anti-AMPK beta 1 antibody [Y367](ab32112)

Anti-AMPK beta 1 antibody [Y367](ab32112)

Anti-AMPK beta 1 antibody [Y367](ab32112)

Anti-AMPK beta 1 antibody [Y367](ab32112)

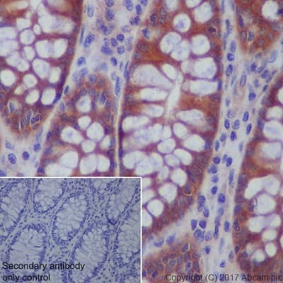
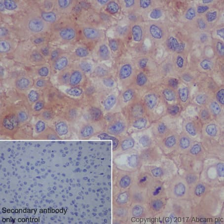
Rabbit Recombinant Monoclonal AMPK beta 1 antibody. Suitable for IP, WB, ICC/IF, Flow Cyt (Intra), IHC-P and reacts with Mouse, Human, Rat samples. Cited in 12 publications.
Specifications
Shipped At Conditions Blue Ice
Appropriate Long term Storage Conditions Store at -20°C.
Clonality Monoclonal
Applications Flow Cyt (Intra), ICC/IF, IHC-P, IP, WB
Species Reactivity Human, Mouse, Rat
Isotype IgG