JavaScript is disabled in your browser. Please enable JavaScript to view this website.

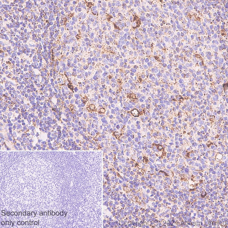
Anti-LAMP1 antibody [RM1217](AB320851)

$undefined

Anti-LAMP1 antibody [RM1217](AB320851)

Anti-LAMP1 antibody [RM1217](AB320851)

Anti-LAMP1 antibody [RM1217](AB320851)

Anti-LAMP1 antibody [RM1217](AB320851)

Anti-LAMP1 antibody [RM1217](AB320851)

Anti-LAMP1 antibody [RM1217](AB320851)

Anti-LAMP1 antibody [RM1217](AB320851)

Anti-LAMP1 antibody [RM1217](AB320851)

Anti-LAMP1 antibody [RM1217](AB320851)

Anti-LAMP1 antibody [RM1217](AB320851)

Anti-LAMP1 antibody [RM1217](AB320851)

Anti-LAMP1 antibody [RM1217](AB320851)

Anti-LAMP1 antibody [RM1217](AB320851)

Anti-LAMP1 antibody [RM1217](AB320851)

Anti-LAMP1 antibody [RM1217](AB320851)

Anti-LAMP1 antibody [RM1217](AB320851)

Anti-LAMP1 antibody [RM1217](AB320851)

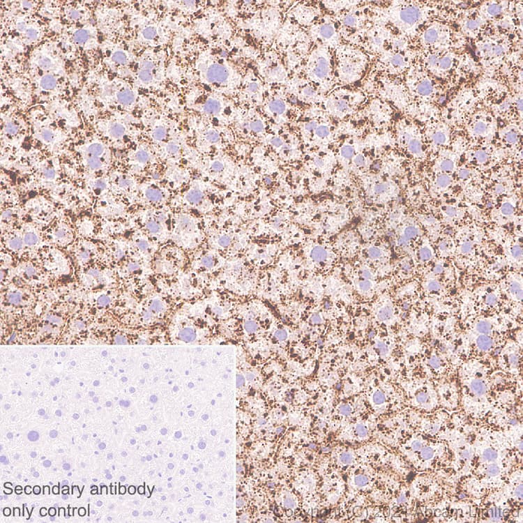
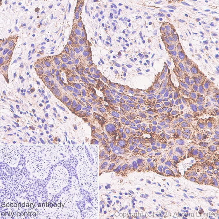
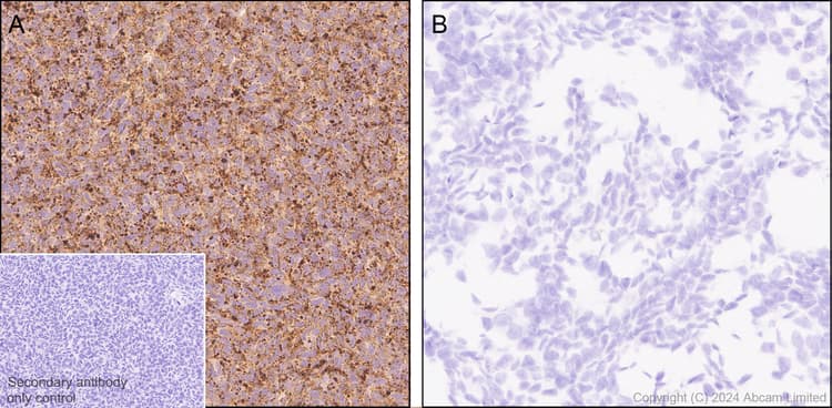
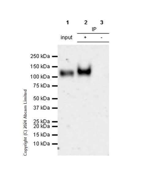
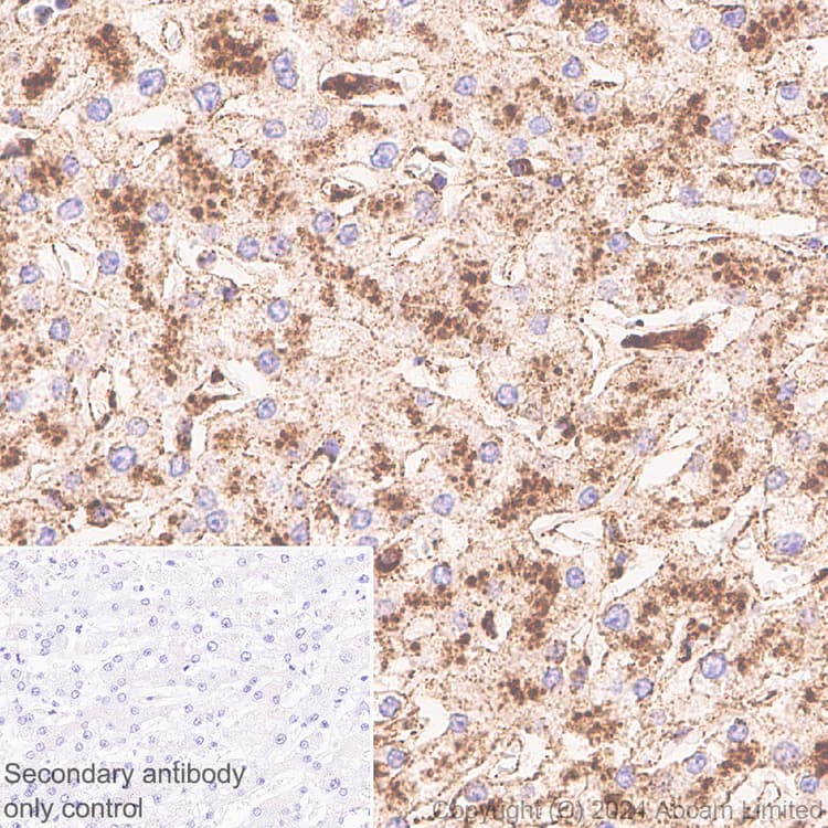
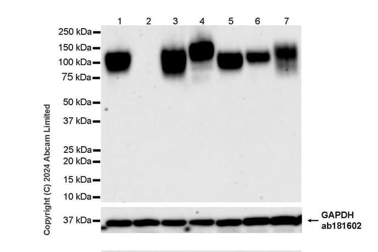
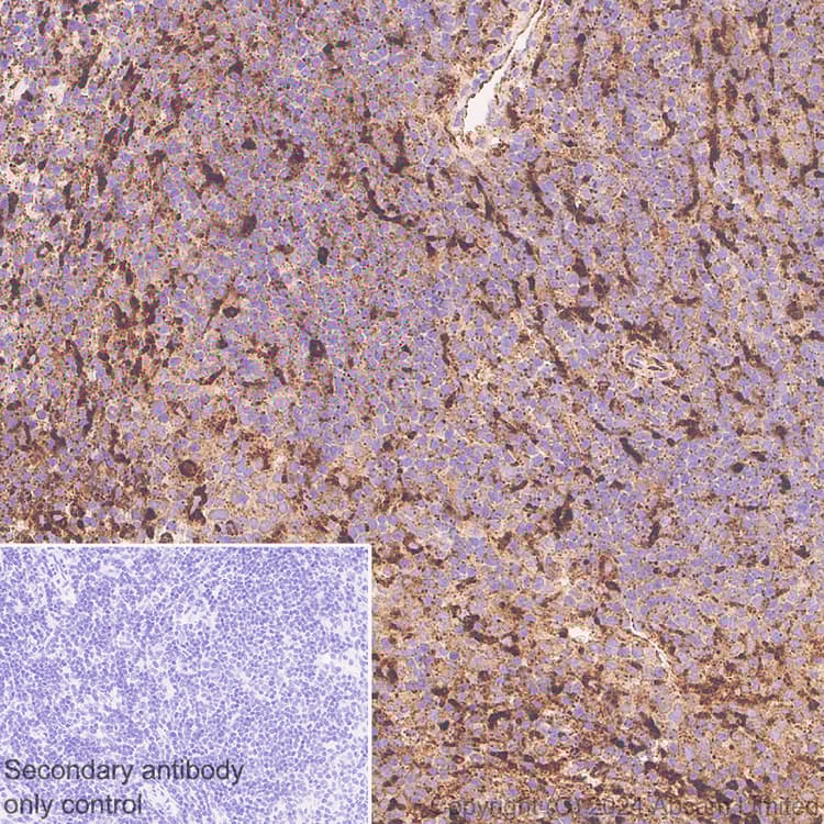
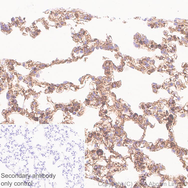
Knockout Tested Rabbit Recombinant Multiclonal LAMP1 antibody. Suitable for WB, IHC-P, Flow Cyt (Intra), ICC/IF, IP and reacts with Human, Mouse samples.
Specifications
Shipped At Conditions Blue Ice
Appropriate Long term Storage Conditions Store at -20°C.
Clonality Multiclonal
Applications Flow Cyt (Intra), ICC/IF, IHC-P, IP, WB
Species Reactivity Human, Mouse, Rat
Isotype IgG