JavaScript is disabled in your browser. Please enable JavaScript to view this website.

Anti-Paxillin antibody [Y113](AB32084)

$undefined

Anti-Paxillin antibody [Y113](AB32084)

Anti-Paxillin antibody [Y113](AB32084)

Anti-Paxillin antibody [Y113](AB32084)

Anti-Paxillin antibody [Y113](AB32084)

Anti-Paxillin antibody [Y113](AB32084)

Anti-Paxillin antibody [Y113](AB32084)

Anti-Paxillin antibody [Y113](AB32084)

Anti-Paxillin antibody [Y113](AB32084)

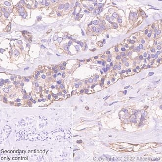
Anti-Paxillin antibody [Y113] ab32084 is a rabbit monoclonal antibody that is used in Paxillin western blotting, IHC, immunofluorescence and flow cytometry. Suitable for human and mouse samples.

- Recombinant format for unrivaled batch-batch consistency: no need for same-lot requests
- Antibody clone Y113 has been tried and trusted by researchers since 2006 and is cited in >260 publications
- Specificity confirmed with PXN knockout cell line validation
- Specificity and sensitivity confirmed in IHC with multi-tissue microarray (TMA) validation
Specifications
Shipped At Conditions Blue Ice
Appropriate Long term Storage Conditions Store at -20°C.
Clonality Monoclonal
Applications Flow Cyt (Intra), ICC/IF, IHC-P, IP, WB
Species Reactivity Human, Mouse
Isotype IgG