JavaScript is disabled in your browser. Please enable JavaScript to view this website.

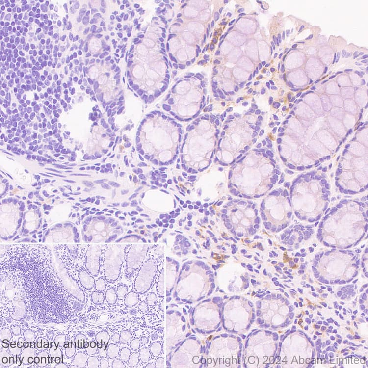
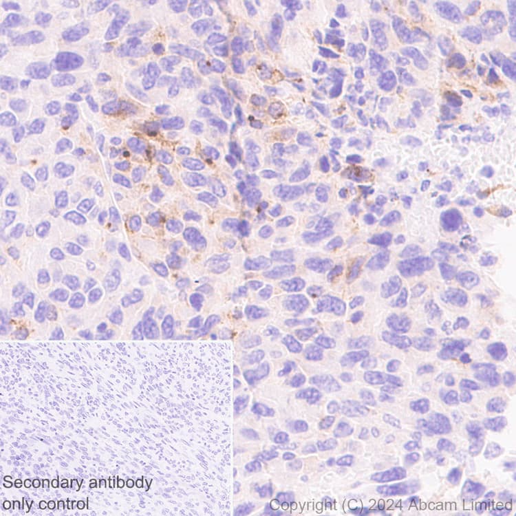
Anti-CXCL9 antibody [EPR28968-26](AB320827)

$undefined

Anti-CXCL9 antibody [EPR28968-26](AB320827)

Anti-CXCL9 antibody [EPR28968-26](AB320827)

Anti-CXCL9 antibody [EPR28968-26](AB320827)

Anti-CXCL9 antibody [EPR28968-26](AB320827)

Rabbit Recombinant Monoclonal CXCL9 antibody. Suitable for WB, IHC-P and reacts with Mouse samples.
Specifications
Shipped At Conditions Blue Ice
Appropriate Long term Storage Conditions Store at -20°C.
Clonality Monoclonal
Applications Flow Cyt (Intra), ICC/IF, IHC-P, WB
Species Reactivity Mouse
Isotype IgG