Western blot - Anti-c-Myc antibody [Y69] - ChIP Grade (ab32072)
Western blot of L363 MM cell and CA46 cells measuring expresison of c-Myc (using ab32072) and GAPDH as the dose of DC-34 increases.
c-Myc protein levels are inhibited as a function of the dose of DC-34 in L363 cells; only the highest dose of DC-34 affected c-Myc in the more resistant CA46 Burkitt's lymphoma cells.
All lanes:
Western blot - Anti-c-Myc antibody [Y69] - ChIP Grade (ab32072)
Predicted band size: 48 kDa
This image is taken from Calabrese D. R. et al. Nat Commun. 2018; 9: 4229. Fig 3e doi: 10.1038/s41467-018-06315-w Reproduced under the Creative Commons license http://creativecommons.org/licenses/by/4.0/.

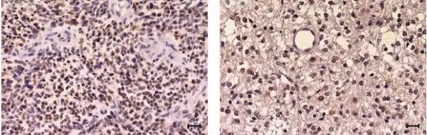
Immunohistochemistry (Formalin/PFA-fixed paraffin-embedded sections) - Anti-c-Myc antibody [Y69] - ChIP Grade (ab32072)
Expression of c-Myc, as determined by immunohistochemical staining of glioblastoma sample (left) and low-grade glioma tumor (right) with ab32072. Representative samples are shown. Scale bars = 20 μm. Nuclei were counterstained with hematoxylin (in blue).
For the full image see PMID 25050814.
Image from Simeone P et al. PLoS One. 2014;;9(7):e103030.; doi: 10.1371/journal.pone.0103030.

Immunohistochemistry (Formalin/PFA-fixed paraffin-embedded sections) - Anti-c-Myc antibody [Y69] - ChIP Grade (ab32072)
Human colorectal carcinoma (CRC) tissues stained for c-Myc using ab32072 at 1/100 dilution in immunohistochemical analysis.
Panel A: c-Myc positive IHC staining.
Panel B: c-Myc negative IHC staining.
For the full image see PMID 24503701.
Image from Toon CW et al. PLoS One. 2014;9(2):e87456. Fig 1.; doi: 10.1371/journal.pone.0087456.

Immunohistochemistry (Formalin/PFA-fixed paraffin-embedded sections) - Anti-c-Myc antibody [Y69] - ChIP Grade (ab32072)
Photomicrographs of select tumors and reactive tissue stained for c-Myc (positive staining is the brown nuclei). Positive control (Burkitt lymphoma with a confirmed c-Myc translocation) revealed uniform, intense staining in >90% of tumor cells (Burkitt). In contrast, reactive lymphoid tissue revealed variable staining in only 10% of normal lymphocyte nuclei (Tonsil). Representative images from Diffuse large B cell lymphoma (DLBCL) cases and associated percent c-Myc+ tumor nuclei: Case 1, 90% MYC+; Case 7, 70% MYC+; and Cases 35 and 38, 30% c-Myc+. c-Myc staining was exclusively nuclear in all cases under the described staining conditions.
Image from Kluk MJ et al. PLoS One. 2012;7(4):e33813. Fig 1.; doi: 10.1371/journal.pone.0033813.

Immunoprecipitation - Anti-c-Myc antibody [Y69] - ChIP Grade (ab32072)
c-Myc was immunoprecipitated using 0.5mg Jurkat (human T cell leukemia cell line from peripheral blood) whole cell extract, 5μg of unpurified rabbit monoclonal to c-Myc [Y69] and 50μl of protein G magnetic beads (+). No antibody was added to the control (-).
The antibody was incubated under agitation with Protein G beads for 10min, Jurkat whole cell extract lysate diluted in RIPA buffer was added to each sample and incubated for a further 10min under agitation.
Proteins were eluted by addition of 40μl SDS loading buffer and incubated for 10min at 70°C; 10μl of each sample was separated on a SDS PAGE gel, transferred to a nitrocellulose membrane, blocked with 5% BSA and probed with unpurified ab32072.
Secondary: Goat polyclonal to mouse IgG light chain specific (HRP) at 1/20,000 dilution.
Band: 57kDa; c-Myc [Y69]
All lanes:
Immunoprecipitation - Anti-c-Myc antibody [Y69] - ChIP Grade (ab32072)
Developed using the ECL technique.
Performed under reducing conditions.
Predicted band size: 48 kDa
Exposure time: 12min
![c-Myc immunoprecipitation from Jurkat cells using anti-c-Myc [Y69] antibody, detected by Western blot.](./media_16e701b75e009bbc477c2ccd7a8fd35d4b68e7b78.avif?width=750&format=avif&optimize=medium)
Western blot - Anti-c-Myc antibody [Y69] - ChIP Grade (ab32072)
False colour image of Western blot: Anti-c-Myc antibody [Y69] staining at 1/1000 dilution, shown in green; Mouse anti-GAPDH antibody [6C5] (ab8245) loading control staining at 1/20000 dilution, shown in red. In Western blot, ab32072 was shown to bind specifically to c-Myc. A band was observed at 45/57 kDa in wild-type HEK-293T cell lysates with no signal observed at this size in MYC CRISPR-Cas9 edited cell line ab256500 (CRISPR-Cas9 edited cell lysate ab263850). The band observed in the CRISPR-Cas9 edited lysate lane below 45/57 kDa is likely to represent a truncated form of c-Myc. This has not been investigated further and the functional properties of the gene product have not been determined. To generate this image, wild-type and MYC CRISPR-Cas9 edited HEK-293T cell lysates were analysed. First, samples were run on an SDS-PAGE gel then transferred onto a nitrocellulose membrane. Membranes were blocked in 5 % milk in TBS-0.1 % Tween® 20 (TBS-T) before incubation with primary antibodies overnight at 4 °C. Blots were washed four times in TBS-T, incubated with secondary antibodies for 1 h at room temperature, washed again four times then imaged. Secondary antibodies used were Goat anti-Rabbit IgG H&L (IRDye® 800CW) preabsorbed (ab216773) and Goat anti-Mouse IgG H&L (IRDye® 680RD) preabsorbed (ab216776) at 1/20000 dilution.
All lanes:
Western blot - Anti-c-Myc antibody [Y69] - ChIP Grade (ab32072) at 1/1000 dilution
Lane 1:
Wild-type HEK-293T cell lysate at 20 µg
Lane 2:
MYC CRISPR-Cas9 edited HEK-293T cell lysate at 20 µg
Lane 3:
Jurkat cell lysate at 20 µg
Lane 4:
SH-SY5Y cell lysate at 20 µg
Performed under reducing conditions.
Predicted band size: 48 kDa
Observed band size: 45 kDa, 57 kDa
