JavaScript is disabled in your browser. Please enable JavaScript to view this website.

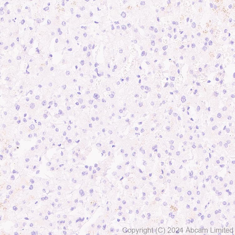
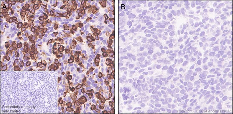
Anti-TRPA1/TSA antibody [EPR26211-139] - BSA and Azide free(AB320716)

$undefined

Anti-TRPA1/TSA antibody [EPR26211-139] - BSA and Azide free(AB320716)

Anti-TRPA1/TSA antibody [EPR26211-139] - BSA and Azide free(AB320716)

Anti-TRPA1/TSA antibody [EPR26211-139] - BSA and Azide free(AB320716)

Anti-TRPA1/TSA antibody [EPR26211-139] - BSA and Azide free(AB320716)

Anti-TRPA1/TSA antibody [EPR26211-139] - BSA and Azide free(AB320716)

Anti-TRPA1/TSA antibody [EPR26211-139] - BSA and Azide free(AB320716)

Rabbit Recombinant Monoclonal TRPA1/TSA antibody. Carrier free. Suitable for IHC-P, WB and reacts with Transfected cell line - Human, Human samples.
Specifications
Shipped At Conditions Blue Ice
Appropriate Long term Storage Conditions Store at +4°C.
Clonality Monoclonal
Applications Human
Species Reactivity ICC/IF, IHC-P, WB
Isotype IgG
Conjugation -
CAS Number -