JavaScript is disabled in your browser. Please enable JavaScript to view this website.

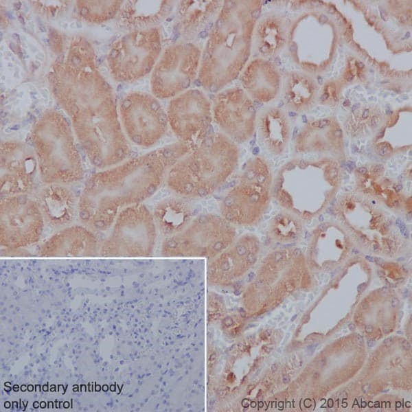
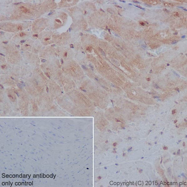
Anti-PP2A alpha + beta antibody [YE351](ab32065)

$undefined

Anti-PP2A alpha + beta antibody [YE351](ab32065)

Anti-PP2A alpha + beta antibody [YE351](ab32065)

Anti-PP2A alpha + beta antibody [YE351](ab32065)

Anti-PP2A alpha + beta antibody [YE351](ab32065)

Anti-PP2A alpha + beta antibody [YE351](ab32065)

Anti-PP2A alpha + beta antibody [YE351](ab32065)

Anti-PP2A alpha + beta antibody [YE351](ab32065)

Anti-PP2A alpha + beta antibody [YE351](ab32065)

Anti-PP2A alpha + beta antibody [YE351](ab32065)

Anti-PP2A alpha + beta antibody [YE351](ab32065)

Anti-PP2A alpha + beta antibody [YE351](ab32065)

Anti-PP2A alpha + beta antibody [YE351](ab32065)

Rabbit Recombinant Monoclonal PP2A-alpha antibody. Suitable for IP, Dot, WB, IHC-P and reacts with Human, Mouse, Rat, Synthetic peptide samples. Cited in 6 publications.
Specifications
Shipped At Conditions Blue Ice
Appropriate Long term Storage Conditions Store at -20°C.
Clonality Monoclonal
Applications Dot, Flow Cyt, ICC/IF, IHC-P, IP, WB
Species Reactivity Human, Mouse, Rat
Isotype IgG