JavaScript is disabled in your browser. Please enable JavaScript to view this website.

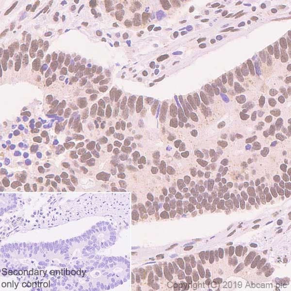
Anti-ATF2 antibody [E242](ab32061)

$undefined

Anti-ATF2 antibody [E242](ab32061)

Anti-ATF2 antibody [E242](ab32061)

Anti-ATF2 antibody [E242](ab32061)

Rabbit Recombinant Monoclonal ATF2 antibody. Suitable for IP, WB, IHC-P and reacts with Human samples. Cited in 1 publication.
Specifications
Shipped At Conditions Blue Ice
Appropriate Long term Storage Conditions Store at -20°C.
Clonality Monoclonal
Applications Flow Cyt, ICC/IF, IHC-P, IP, WB
Species Reactivity Human
Isotype IgG