JavaScript is disabled in your browser. Please enable JavaScript to view this website.

Anti-Cyclin B1 antibody [Y106](ab32053)

$undefined

Anti-Cyclin B1 antibody [Y106](ab32053)

Anti-Cyclin B1 antibody [Y106](ab32053)

Anti-Cyclin B1 antibody [Y106](ab32053)

Anti-Cyclin B1 antibody [Y106](ab32053)

Anti-Cyclin B1 antibody [Y106](ab32053)

Anti-Cyclin B1 antibody [Y106](ab32053)

Anti-Cyclin B1 antibody [Y106](ab32053)

Anti-Cyclin B1 antibody [Y106](ab32053)

Anti-Cyclin B1 antibody [Y106](ab32053)

Anti-Cyclin B1 antibody [Y106](ab32053)

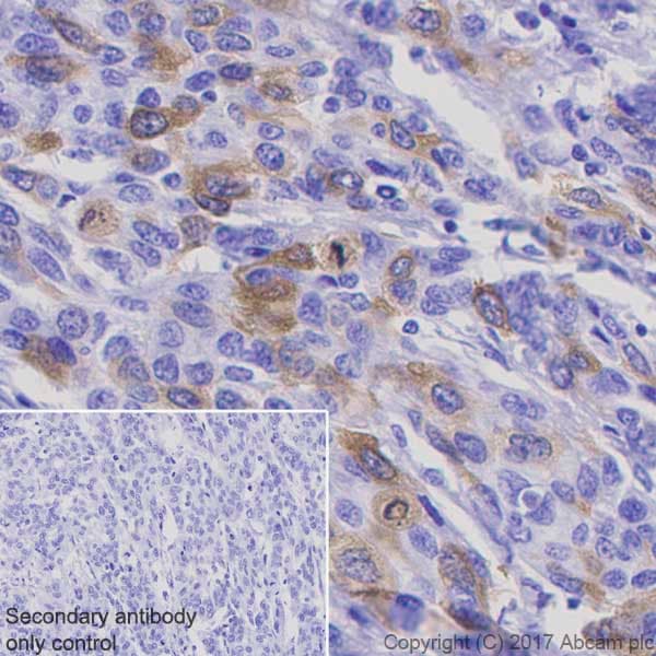
Rabbit Recombinant Monoclonal Cyclin B1 antibody. Suitable for IP, WB, ICC/IF, Flow Cyt (Intra), IHC-P and reacts with Human samples. Cited in 186 publications.
Specifications
Shipped At Conditions Blue Ice
Appropriate Long term Storage Conditions Store at -20°C.
Clonality Monoclonal
Applications Flow Cyt (Intra), ICC/IF, IHC-P, IP, WB
Species Reactivity Human
Isotype IgG