JavaScript is disabled in your browser. Please enable JavaScript to view this website.

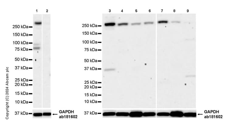
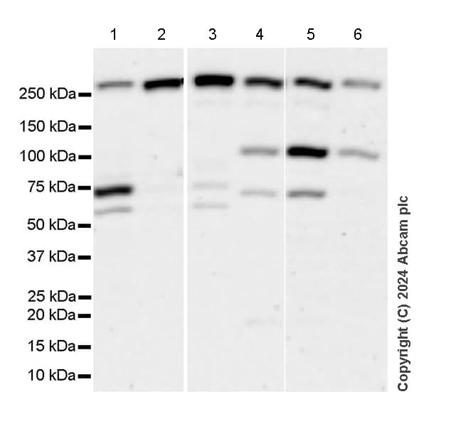
Anti-ZFYVE26 antibody [EPR28782-59] - BSA and Azide free(ab319052)

$undefined

Anti-ZFYVE26 antibody [EPR28782-59] - BSA and Azide free(ab319052)

Anti-ZFYVE26 antibody [EPR28782-59] - BSA and Azide free(ab319052)

Anti-ZFYVE26 antibody [EPR28782-59] - BSA and Azide free(ab319052)

Rabbit Recombinant Monoclonal ZFY26 antibody. Carrier free. Suitable for WB and reacts with Human, Mouse, Rat samples.
Specifications
Shipped At Conditions Blue Ice
Appropriate Long term Storage Conditions Store at +4°C.
Clonality Monoclonal
Applications ICC/IF, IHC-Fr, IHC-P, WB
Species Reactivity Human, Mouse, Rat
Isotype IgG