JavaScript is disabled in your browser. Please enable JavaScript to view this website.

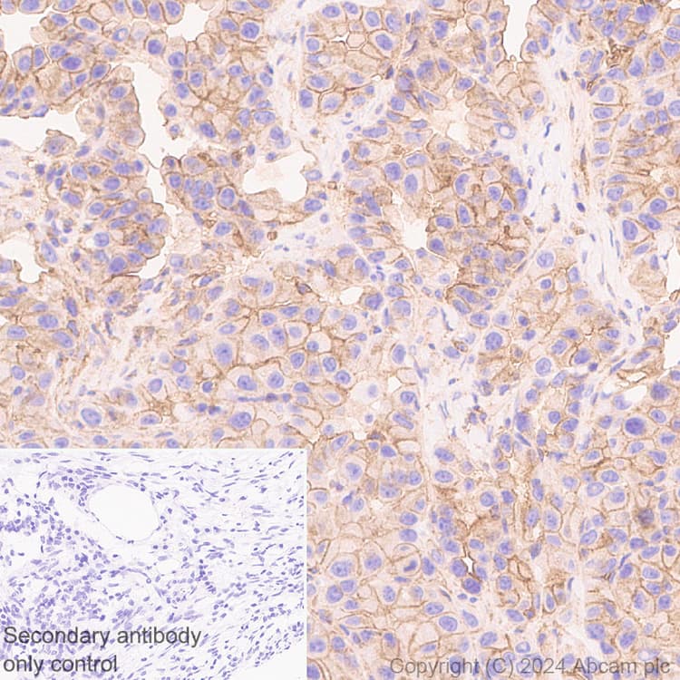
Anti-CD47 antibody [EPR28770-376](ab319049)

$undefined

Anti-CD47 antibody [EPR28770-376](ab319049)

Anti-CD47 antibody [EPR28770-376](ab319049)

Anti-CD47 antibody [EPR28770-376](ab319049)

Anti-CD47 antibody [EPR28770-376](ab319049)

Anti-CD47 antibody [EPR28770-376](ab319049)

Anti-CD47 antibody [EPR28770-376](ab319049)

Rabbit Recombinant Monoclonal CD47 antibody. Suitable for IHC-P, WB and reacts with Mouse samples.
Specifications
Shipped At Conditions Blue Ice
Appropriate Long term Storage Conditions Store at -20°C.
Clonality Monoclonal
Applications Flow Cyt, IHC-P, WB
Species Reactivity Human, Mouse, Rat
Isotype IgG