JavaScript is disabled in your browser. Please enable JavaScript to view this website.

Anti-SPEN antibody [EPR28618-77] - BSA and Azide free(ab319044)

$undefined

Anti-SPEN antibody [EPR28618-77] - BSA and Azide free(ab319044)

Anti-SPEN antibody [EPR28618-77] - BSA and Azide free(ab319044)

Anti-SPEN antibody [EPR28618-77] - BSA and Azide free(ab319044)

Anti-SPEN antibody [EPR28618-77] - BSA and Azide free(ab319044)

Anti-SPEN antibody [EPR28618-77] - BSA and Azide free(ab319044)

Anti-SPEN antibody [EPR28618-77] - BSA and Azide free(ab319044)

Anti-SPEN antibody [EPR28618-77] - BSA and Azide free(ab319044)

Anti-SPEN antibody [EPR28618-77] - BSA and Azide free(ab319044)

Anti-SPEN antibody [EPR28618-77] - BSA and Azide free(ab319044)

Anti-SPEN antibody [EPR28618-77] - BSA and Azide free(ab319044)

Anti-SPEN antibody [EPR28618-77] - BSA and Azide free(ab319044)

Anti-SPEN antibody [EPR28618-77] - BSA and Azide free(ab319044)

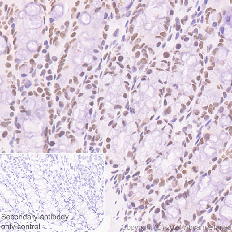
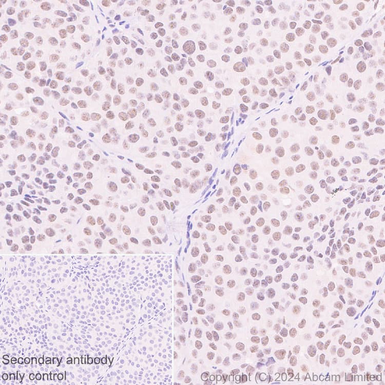
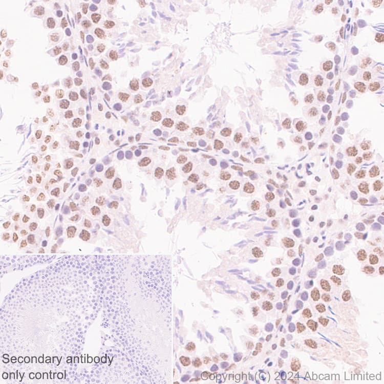
Rabbit Recombinant Monoclonal SPEN antibody. Carrier free. Suitable for WB, IHC-P and reacts with Human, Mouse, Rat samples.
Specifications
Shipped At Conditions Blue Ice
Appropriate Long term Storage Conditions Store at +4°C.
Clonality Monoclonal
Applications Flow Cyt (Intra), ICC/IF, IHC-P, IP, WB
Species Reactivity Human, Mouse, Rat
Isotype IgG