JavaScript is disabled in your browser. Please enable JavaScript to view this website.

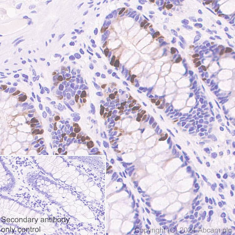
Anti-UNG2 antibody [EPR29004-78] - BSA and Azide free(ab318983)

$undefined

Anti-UNG2 antibody [EPR29004-78] - BSA and Azide free(ab318983)

Anti-UNG2 antibody [EPR29004-78] - BSA and Azide free(ab318983)

Anti-UNG2 antibody [EPR29004-78] - BSA and Azide free(ab318983)

Anti-UNG2 antibody [EPR29004-78] - BSA and Azide free(ab318983)

Anti-UNG2 antibody [EPR29004-78] - BSA and Azide free(ab318983)

Rabbit Recombinant Monoclonal UNG antibody. Carrier free. Suitable for Dot, IHC-P, WB and reacts with Synthetic peptide, Human samples.
Specifications
Shipped At Conditions Blue Ice
Appropriate Long term Storage Conditions Store at +4°C.
Clonality Monoclonal
Applications Dot, IHC-P, WB
Species Reactivity Human, Mouse
Isotype IgG