JavaScript is disabled in your browser. Please enable JavaScript to view this website.

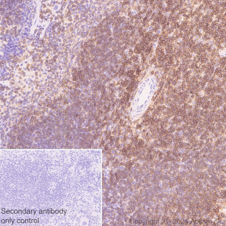
Anti-CD45 antibody [RM2051](ab318154)

$undefined

Anti-CD45 antibody [RM2051](ab318154)

Anti-CD45 antibody [RM2051](ab318154)

Anti-CD45 antibody [RM2051](ab318154)

Anti-CD45 antibody [RM2051](ab318154)

Anti-CD45 antibody [RM2051](ab318154)

Anti-CD45 antibody [RM2051](ab318154)

Anti-CD45 antibody [RM2051](ab318154)

Anti-CD45 antibody [RM2051](ab318154)

Anti-CD45 antibody [RM2051](ab318154)

Anti-CD45 antibody [RM2051](ab318154)

Anti-CD45 antibody [RM2051](ab318154)

Anti-CD45 antibody [RM2051](ab318154)

Rabbit Recombinant Multiclonal CD45 antibody. Suitable for WB, IHC-P, ICC/IF, Flow Cyt and reacts with Mouse, Human samples.
Specifications
Shipped At Conditions Blue Ice
Appropriate Long term Storage Conditions Store at -20°C.
Clonality Multiclonal
Applications Flow Cyt, ICC/IF, IHC-P, IP, WB
Species Reactivity Human, Mouse, Rat
Isotype IgG