JavaScript is disabled in your browser. Please enable JavaScript to view this website.

Anti-GPNMB antibody [EPR29063-10] - BSA and Azide free(ab317326)

$undefined

Anti-GPNMB antibody [EPR29063-10] - BSA and Azide free(ab317326)

Anti-GPNMB antibody [EPR29063-10] - BSA and Azide free(ab317326)

Anti-GPNMB antibody [EPR29063-10] - BSA and Azide free(ab317326)

Anti-GPNMB antibody [EPR29063-10] - BSA and Azide free(ab317326)

Anti-GPNMB antibody [EPR29063-10] - BSA and Azide free(ab317326)

Anti-GPNMB antibody [EPR29063-10] - BSA and Azide free(ab317326)

Anti-GPNMB antibody [EPR29063-10] - BSA and Azide free(ab317326)

Anti-GPNMB antibody [EPR29063-10] - BSA and Azide free(ab317326)

Anti-GPNMB antibody [EPR29063-10] - BSA and Azide free(ab317326)

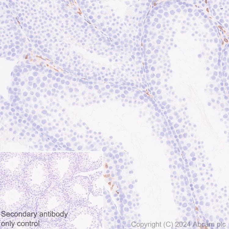
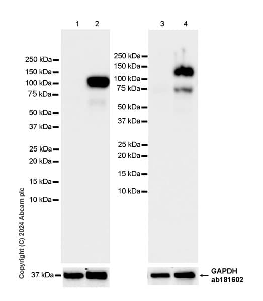
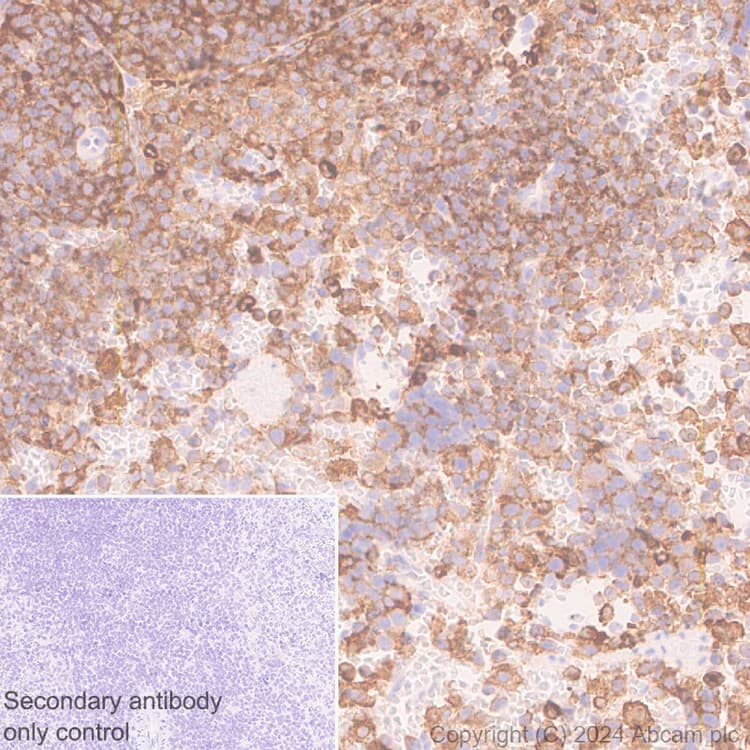
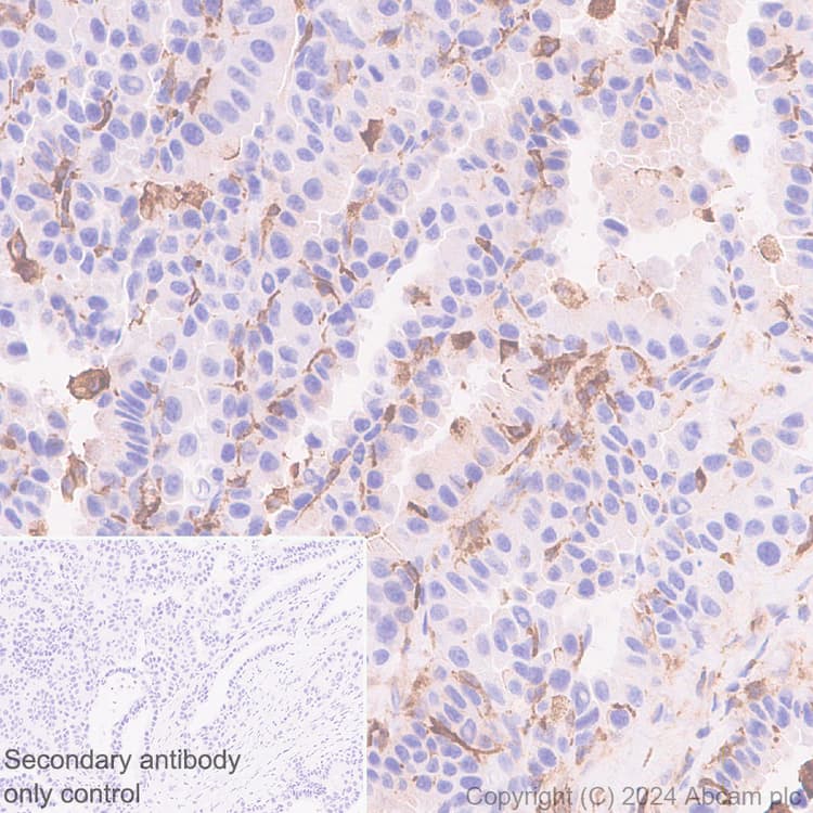
Rabbit Recombinant Monoclonal GPNMB antibody. Carrier free. Suitable for IHC-P, WB, ICC/IF and reacts with Mouse, Rat samples.
Specifications
Shipped At Conditions Blue Ice
Appropriate Long term Storage Conditions Store at +4°C.
Clonality Monoclonal
Applications Flow Cyt (Intra), ICC/IF, IHC-P, IP, WB
Species Reactivity Human, Mouse, Rat
Isotype IgG