JavaScript is disabled in your browser. Please enable JavaScript to view this website.

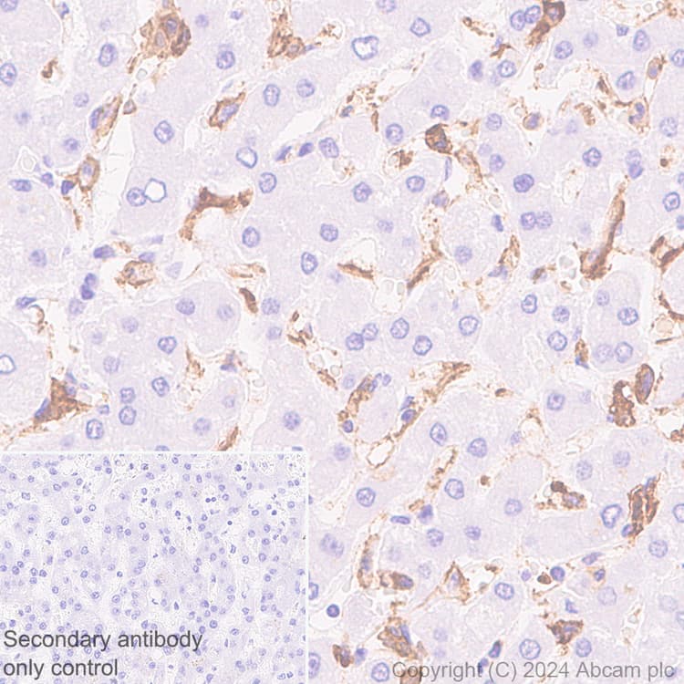
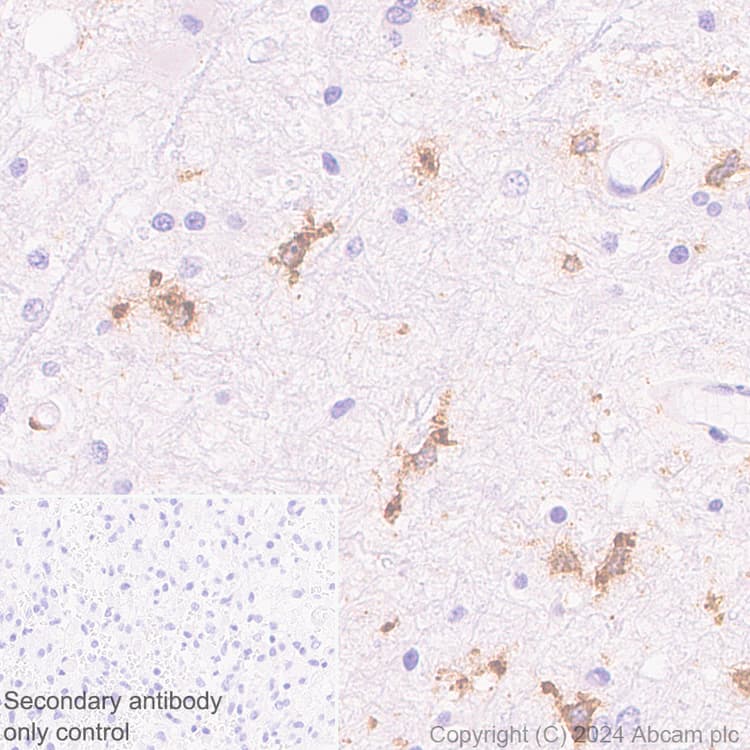
Anti-C3a R antibody [EPR28765-1](ab317321)

$undefined

Anti-C3a R antibody [EPR28765-1](ab317321)

Anti-C3a R antibody [EPR28765-1](ab317321)

Anti-C3a R antibody [EPR28765-1](ab317321)

Anti-C3a R antibody [EPR28765-1](ab317321)

Anti-C3a R antibody [EPR28765-1](ab317321)

Anti-C3a R antibody [EPR28765-1](ab317321)

Rabbit Recombinant Monoclonal C3a R antibody. Suitable for IHC-P, mIHC and reacts with Transfected cell line - Human, Human samples.
Specifications
Shipped At Conditions Blue Ice
Appropriate Long term Storage Conditions Store at -20°C.
Clonality Monoclonal
Applications Flow Cyt, ICC/IF, IHC-P, IP, WB, mIHC
Species Reactivity Human, Mouse, Rat
Isotype IgG